Opdagelse af sjældne forandringer i hjernevævet
Neurolog Per Cai Sehested er medforfatter på en ny artikel om opdagelse af sjældne forandringer i hjernevævet, der ses ved en MR-skanning.
Opdagelse af sjældne forandringer i hjernevævet
Neurolog Per Cai Sehested er medforfatter på en ny artikel om opdagelse af sjældne forandringer i hjernevævet, der ses ved en MR-skanning.


Tre af Aleris læger har ved en MR-scanning opdaget sjældne forandringer i hjernevævet, der endnu ikke er stort kendskab til. Dette er der kommet en Neuroradiologisk artikel ud af, som bl.a. speciallæge i neurologi, Per Cai Sehested er medforfatter på.
Artiklen omhandler de radiologiske karakteristika for forandringen og dermed hvad der adskiller dem fra andre forandringer i de nævnte strukturer, således at den rette diagnose kan sikres.
Forandringerne er ofte et tilfældigt fund, men man kan især se dem hos patienter undersøgt for hovedpine og epilepsi. I et fåtal af tilfælde har forandringen haft betydning.
Sjældne forandringer
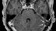
De sjældne forandringer kan ses ved en MR-scanning. Emnet er endnu ikke beskrevet i dansk litteratur, og der er ikke megen viden om det. Forandringen er sagt i enkelthed den, at en del af hjernen har dannet et “brok” ind i en normal struktur tilhørende hjernens hinder, de såkaldte arachnoide granuleringer (AG), som blandt andet ligger inkorporeret i de store venestrukturer (sinus), der leder blodet fra hjernen. AG er normalt af betydning for at lede hjernevæsken bort fra rummet omkring hjerne og rygmarv og er dermed med til at bortskaffe affaldsstoffer med mere via blodbanen.
Det lille brok ind i AG kaldes samlet set BHAG, hvilket står for Brain Herniations into Arachnoid Granulations (se billedet). Brokket kan være af forskellig størrelse, men omkring 10 mm er almindeligt. Det kræver således tynde snit og høj opløsning for at kunne se dem. De moderne skannere er netop karakteriseret ved at skanne med tyndere snit og højere opløsning, så man må forvente at se flere af dem fremadrettet.
Den anden del af ovenstående er at klarlægge hvor i kraniet forandringerne forekommer, hvilke dele af hjernen drejer det sig om, og ikke mindst hvad det betyder for patienterne. Det belyser artiklen nærmere i detaljer.
Som det fremgår af ovenstående, så er det en nybeskrevet forandring, BHAG, hvor mere forskning er påkrævet for at opnå den størst mulige statistiske sikkerhed for forandringens kliniske betydning.
Artikeltitel: “The controversial entity of brain herniations into arachnoid granulations: A report of three cases with literature review”
Publiceret i: Radiology case reports, udgivet af Elsevier
Forfattere til artiklen:
- Urszula Maria Ciochon, Afdeling for Røntgen og Skanning, Rigshospitalet
- Per Cai Sehested, Afdeling for Neurologi, Aleris Aarhus
- Pernille Bro Skejø, Afdeling for Radiologi, Aleris Søborg
- Jacob Miehe, Afdeling for Øre-Næse-Hals, Holstebro Hospital
- Ina Nørgaard, Afdeling for Neurologi, Rigshospitalet
- Nitesh Shekhrajka, Afdeling for Røntgen og Skanning samt Radiologi, Aleris Søborg
Tre af Aleris læger har ved en MR-scanning opdaget sjældne forandringer i hjernevævet, der endnu ikke er stort kendskab til. Dette er der kommet en Neuroradiologisk artikel ud af, som bl.a. speciallæge i neurologi, Per Cai Sehested er medforfatter på.
Artiklen omhandler de radiologiske karakteristika for forandringen og dermed hvad der adskiller dem fra andre forandringer i de nævnte strukturer, således at den rette diagnose kan sikres.
Forandringerne er ofte et tilfældigt fund, men man kan især se dem hos patienter undersøgt for hovedpine og epilepsi. I et fåtal af tilfælde har forandringen haft betydning.
Sjældne forandringer
De sjældne forandringer kan ses ved en MR-scanning. Emnet er endnu ikke beskrevet i dansk litteratur, og der er ikke megen viden om det. Forandringen er sagt i enkelthed den, at en del af hjernen har dannet et “brok” ind i en normal struktur tilhørende hjernens hinder, de såkaldte arachnoide granuleringer (AG), som blandt andet ligger inkorporeret i de store venestrukturer (sinus), der leder blodet fra hjernen. AG er normalt af betydning for at lede hjernevæsken bort fra rummet omkring hjerne og rygmarv og er dermed med til at bortskaffe affaldsstoffer med mere via blodbanen.
Det lille brok ind i AG kaldes samlet set BHAG, hvilket står for Brain Herniations into Arachnoid Granulations (se billedet). Brokket kan være af forskellig størrelse, men omkring 10 mm er almindeligt. Det kræver således tynde snit og høj opløsning for at kunne se dem. De moderne skannere er netop karakteriseret ved at skanne med tyndere snit og højere opløsning, så man må forvente at se flere af dem fremadrettet.
Den anden del af ovenstående er at klarlægge hvor i kraniet forandringerne forekommer, hvilke dele af hjernen drejer det sig om, og ikke mindst hvad det betyder for patienterne. Det belyser artiklen nærmere i detaljer.
Som det fremgår af ovenstående, så er det en nybeskrevet forandring, BHAG, hvor mere forskning er påkrævet for at opnå den størst mulige statistiske sikkerhed for forandringens kliniske betydning.
Artikeltitel: “The controversial entity of brain herniations into arachnoid granulations: A report of three cases with literature review”
Publiceret i: Radiology case reports, udgivet af Elsevier
Forfattere til artiklen:
- Urszula Maria Ciochon, Afdeling for Røntgen og Skanning, Rigshospitalet
- Per Cai Sehested, Afdeling for Neurologi, Aleris Aarhus
- Pernille Bro Skejø, Afdeling for Radiologi, Aleris Søborg
- Jacob Miehe, Afdeling for Øre-Næse-Hals, Holstebro Hospital
- Ina Nørgaard, Afdeling for Neurologi, Rigshospitalet
- Nitesh Shekhrajka, Afdeling for Røntgen og Skanning samt Radiologi, Aleris Søborg
