Delprotese i knæ giver gode resultater
Delprotese i knæet giver et bedre resultat med god bevægelighed og mindre risiko for komplikationer sammenlignet med en total knæprotese.

Få et aktivt liv igen med et nyt knæ
&width=188&height=188&quality=70)
Er du plaget af daglige knæsmerter og har nedsat livskvalitet? En knæprotese kan være den rigtige løsning, når slidgigten for alvor begrænser din hverdag.
Slidgigt er den mest udbredte ledsygdom, der rammer stort set alle med alderen. Otte ud af ti har slidgigt, når de har passeret de 50 år. Slidgigt opstår, når brusken mellem knoglerne eftrhånden nedbrydes, og det er den mest almindelige årsag til, at der er behov for at indsætte en knæprotese.
De første symptomer er typisk smerter ved igangsætning, ømhed efter belastning og hævelse. Ved svær slidgigt opstår der ofte hvilesmerter, nedsat bevægelighed og måske fejlstilling i ledde.
For mange patienter betyder det en dagligdag præget af smerter, funktionstab og frustrationer, fordi man måske ikke kan passe sit job, få sin daglige motion og må opgive sine fritidsinteresser og afstå fra rejseaktiviteter.
&width=188&height=190&quality=70)
Knæproteser anvendes også til personer med leddegigt, som forekommer hos cirka 1 % af den voksne danske befolkning. Kvinder rammes tre gange så hyppigt som mænd. Leddegigt er kendetegnet ved, at kroppens led bliver angrebet af en betændelseslignende tilstand. Sygdommen opstår hyppigst i 30 - 50 års alderen. I de fleste tilfælde medfører sygdommen, at leddene gradvist misdannes og dermed mister deres funktion. Det giver smerter ved bevægelse af leddene og deraf følgende indskrænket bevægelighed og stivhed i leddet.
En knæprotese er relevant, når smerterne bliver så invaliderende, at de påvirker søvn, arbejde, bevægelighed og daglige funktioner – og når anden behandling ikke længere hjælper. Hos os vurderer erfarne ortopædkirurger, hvornår tiden er rigtig.
Ved indsættelse af et kunstigt knæled udskiftes de beskadigede ledflader med en protese, som består af tre dele:
Proteserne er fremstillet af rustfrit stål og slidstærk plastik (polyethylen), og de fastgøres med knoglecement, som er gennemtestet og godkendt til medicinsk brug.
Lårbensdelen og skinnebensdelen sættes fast med cement og mødes i et glidende led, hvor plastikken på skinnebensdelen skaber kontaktfladen mod lårbensprotesen. Knæskallen får ligeledes en plastikdel, som gør det muligt at bevæge knæet frit og smertefrit.
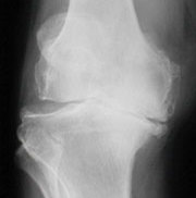
Hvis du kun har slidgigt i det ene ledkammer - hyppigst på indersiden af knæet, anbelafer vi ofte en delprotese (Uniknæ). Dette er tilfældet for ca. 30 - 50% af alle patienter med slidgigt i knæet.
Indsættelse af en delprotese i knæet er et mindre indgreb, hvor risikoen for komplikationer er mindre, og sandsynligheden for at opnå et rigtigt godt resultat efter operationen er bedre sammenlignet med totale knæproteser. Bevægeligheden bliver ofte bedre, og chancerne for at kunne ligge på knæ efter operationen er større. Læs mere.

Det fjernede, slidte knæled kan anvendes til at hjælpe andre patienter. Vi spørger dig derfor, om vi må donere det fjernede knoglevæv til Rigshospitalets knoglebank, hvor knoglen fryses ned og bruges til andre patienter ved lejlighed. Såfremt du er indforstået hermed, vil du få taget en ekstra blodprøve for at sikre, at ledhovedet er fri for smitsomme sygdomme. Du skal i så fald underskrive en samtykkeerklæring om, at du donerer den fjernede knogle.
Nationalt bliver kvaliteten af knæoperationer registreret og overvåget i Dansk knæalloplastik register (database). Aleris indberetter alle knæoperationer til denne database, og der er således overvågning og kontrol med vores operationer på lige fod med andre klinikker / sygehuse, som indopererer kunstige knæ.
Få hurtig hjælp hos vores erfarne specialister.
Bilkørsel kan foretages, når du kan flytte fødderne mellem bilens pedaler på forsvarlig vis og ikke længere tager stærk, smertestillende medicin. Det anbefales at vente til ca. 6 uger efter operationen. Prøv først om du, på forsvarlig vis, kan betjene pedalerne, før du starter. Det er vigtigt, at du selv føler dig tryg.
Normalt er man sygemeldt indtil 3 måneder efter operationen. Dette gælder i særdeleshed, hvis du har tungt fysisk arbejde eller meget stående og gående arbejde. Mere stillesiddende arbejde kan genoptages før, hvis du føler dig klar til det.
Svømning kan opstartes, når operationssåret er helet, dvs. efter ca. 2 - 3 uger.
Kondicykel kan benyttes umiddelbart efter hjemkomsten. Du skal dog være opmærksom på sadlens højde, idet hoften ikke må bøjes mere end 90 grader. Almindelig cykel kan benyttes, når du er sikkert gående uden brug af hjælpemidler, typisk efter 3 måneder. Det opererede led kan sagtens holde til det, men du risikerer at vælte med cyklen ved på- og afstigning, da denne ikke står fast som en kondicykel.
Cykling, svømning, golf, tennis, badminton og kontrolleret skiløb kan genoptages efter 3 måneder. Undgå kontaktsport (fx. fodbold og håndbold), hop og længere løbeture, idet risikoen for at skade det opererede led herved stiger.
Et nyt kunstigt knæ er ikke en hindring for seksuallivet, som kan foregå efter lyst og evne.
Der ingen restriktioner, men lad almindelig sund fornuft råde.
Det nye led indeholder metal, som kan udløse "alarmen" ved sikkerhedscheck i lufthavne. Du skal blot forklare, at du har fået indopereret et nyt led. Man er i lufthavnene vant til at håndtere denne situation, og det giver ikke problemer. Brev med oplysning om operationen er ikke nødvendigt, ligesom du heller ikke kan få anført i dit pas, at du har et kunstigt led.
Rengøring kan foretages efter fysisk formåen.
Hævelse af det opererede ben er normalt og skyldes dels følger efter operationen, dels at gangen ikke afvikles normalt. Hævelsen kan omfatte hele benet herunder ankel og fod og forsvinder igen efter et par måneder.
Blå mærker og blodansamlinger er normalt forekommende og forsvinder af sig selv efter nogle uger.
Det er helt normalt, at der forekommer smerter i en periode efter operationen i forbindelse med øgning af gang og aktivitet. Det kan være en god idé at afpasse træningen efter smerterne, således at musklerne indimellem får lidt ro.
Ambulant kontrol foregår efter ca. 3 måneder. Har du spørgsmål, kan disse med fordel skrives ned og medbringes til besvarelse ved denne kontrol hos den overlæge, der har opereret dig.
Når du kommer hjem, skal du fortsat træne flittigt selv – også selv om du får tilbudt yderligere fysioterapi. Pga. eftervirkningerne fra operationen, kan du forvente at være lidt mere træt, når du kommer hjem. Alle daglige gøremål kan være lidt mere besværlige og tage lidt længere tid, hvilket er helt normalt. Du kan dog med fordel udføre alle de gøremål, du må og kan, idet dette også er en del af din selvtræning og sikrer, at du hurtigt opnår det bedste resultat.
Priserne er gældende fra 7. maj 2025. Alle priser er vejledende. Moms er inkluderet i priser for momspligtige ydelser.
Indsættelse af knæprotese inkl. protese (da vi ikke anbefaler at operere begge knæ samme dag, får private kunder 20% rabat ved 2. knæledsoperation)
Bedøvelse
Indlæggelse
Pris i DKK