Løs knæskal - ledskred af knæskal
Hvis du har en løs knæskal, som går af led gentagne gange, er der god grund til at blive opereret, fordi knæets brusk tager skade, hver gang knæskallen smutter ud over siden af knæet.
Løs knæskal - ledskred af knæskal
Hvis du har en løs knæskal, som går af led gentagne gange, er der god grund til at blive opereret, fordi knæets brusk tager skade, hver gang knæskallen smutter ud over siden af knæet.


Løs knæskal er en almindelig skade, der ofte opstår under udøvelse af sport eller andre fritidsaktiviteter. Knæskallen glider næsten altid ud over lårbenets yderside. Skaden opstår næsten altid pga. et vrid i knæet, men du kan være disponeret for denne skade, hvis du har:
- Hypermobilitet i knæleddet
- Er kalveknæet
- Har en lille knæskal med skæv placering
Behandling af løs knæskal
Hvis knæskallen går af led en enkelt gang, eller du kun har sjældne tilfælde af ustabilitet og smerter i knæskallen, kan du formentlig undgå operation, men du skal have styrket knæet med træning. Dette sker ofte i samarbejde med en fysioterapeut. Læs mere om dine muligheder for genoptræning hos Aleris Fysioterapi i samarbejde med din læge.
Hvis din knæskal går af led gentagne gange, er der god grund til at blive opereret. Knæskallen bliver mere og mere løs for hver gang, den har været af led, og med tiden bliver brusken bagpå så dårlig, at der kommer smerter ved belastning af knæet. Hævelse af knæet ses ofte ved gentagne ledskred.
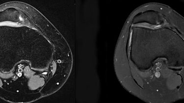
Hvilken type af operation, der skal vælges, afhænger af de biomekaniske forhold omkring knæet, og derfor skal du gennem både røntgen og MR-scanning.
Vores ortopædkirurg Lars Blønd, som er tilknyttet Aleris i København, har udviklet en unik og meget skånsom kikkertmetode til operation af løs knæskal. Metoden er udviklet i samarbejde med en tysk kollega og Panum Instituttet, og Lars Blønd pt er den eneste i DK, som udfører denne.
Operation for løs knæskal
Hvis knæskallen har været gået af led, er ledbåndet fra knæskallen til lårbenets inderside også beskadiget. Selv om ledbåndet heler sammen igen, vil det for hver gang knæskallen går af led, blive slappere og miste evnen til at holde igen på knæskallen. Derfor må man lave en rekonstruktion af ledbåndet.
Forventninger til operationen
Mere end 2/3 af dem, som bliver opereret, er tilfreds med resultatet efter et år. De får en stabil knæskal med få smerter ved daglige belastninger. Det er dog kun ganske få, som kan vende tilbage til konkurrenceidræt efter operationen.
Resultatet af operationerne er meget afhængig af, om der er sket skade på brusken bag på knæskallen. Jo større bruskskader på indersiden af knæskallen jo dårligere prognose for smerter efter operationen.
Løs knæskal er en almindelig skade, der ofte opstår under udøvelse af sport eller andre fritidsaktiviteter. Knæskallen glider næsten altid ud over lårbenets yderside. Skaden opstår næsten altid pga. et vrid i knæet, men du kan være disponeret for denne skade, hvis du har:
- Hypermobilitet i knæleddet
- Er kalveknæet
- Har en lille knæskal med skæv placering
Behandling af løs knæskal
Hvis knæskallen går af led en enkelt gang, eller du kun har sjældne tilfælde af ustabilitet og smerter i knæskallen, kan du formentlig undgå operation, men du skal have styrket knæet med træning. Dette sker ofte i samarbejde med en fysioterapeut. Læs mere om dine muligheder for genoptræning hos Aleris Fysioterapi i samarbejde med din læge.
Hvis din knæskal går af led gentagne gange, er der god grund til at blive opereret. Knæskallen bliver mere og mere løs for hver gang, den har været af led, og med tiden bliver brusken bagpå så dårlig, at der kommer smerter ved belastning af knæet. Hævelse af knæet ses ofte ved gentagne ledskred.
Hvilken type af operation, der skal vælges, afhænger af de biomekaniske forhold omkring knæet, og derfor skal du gennem både røntgen og MR-scanning.
Vores ortopædkirurg Lars Blønd, som er tilknyttet Aleris i København, har udviklet en unik og meget skånsom kikkertmetode til operation af løs knæskal. Metoden er udviklet i samarbejde med en tysk kollega og Panum Instituttet, og Lars Blønd pt er den eneste i DK, som udfører denne.
Operation for løs knæskal
Hvis knæskallen har været gået af led, er ledbåndet fra knæskallen til lårbenets inderside også beskadiget. Selv om ledbåndet heler sammen igen, vil det for hver gang knæskallen går af led, blive slappere og miste evnen til at holde igen på knæskallen. Derfor må man lave en rekonstruktion af ledbåndet.
Forventninger til operationen
Mere end 2/3 af dem, som bliver opereret, er tilfreds med resultatet efter et år. De får en stabil knæskal med få smerter ved daglige belastninger. Det er dog kun ganske få, som kan vende tilbage til konkurrenceidræt efter operationen.
Resultatet af operationerne er meget afhængig af, om der er sket skade på brusken bag på knæskallen. Jo større bruskskader på indersiden af knæskallen jo dårligere prognose for smerter efter operationen.
Udvalgte priser
Priserne er gældende fra 7. maj 2025. Alle priser er vejledende. Moms er inkluderet i priser for momspligtige ydelser.
Udvalgte priser
Priserne er gældende fra 7. maj 2025. Alle priser er vejledende. Moms er inkluderet i priser for momspligtige ydelser.
Bedøvelse
Pris i DKK
Forundersøgelse ortopædkirurg
Bedøvelse
Indlæggelse
Pris i DKK
Seneflytning og ledbåndsrekonstruktion ved løs knæskal
Bedøvelse
Indlæggelse
Pris i DKK
Kikkertoperation for løs knæskal (Trochleoplastik), lille
Bedøvelse
Indlæggelse
Pris i DKK
Kikkertoperation for løs knæskal (Trochleoplastik), stor
Bedøvelse
Indlæggelse
Pris i DKK
Download patientinfo
Vælg område



